El Hallux Valgus, comunmente conocido como juanete, es una prominencia (un bulto) que aparece en la parte interna del pie, justo antes del primer dedo (dedo gordo). Este bulto obedece a una deformidad más compleja llamada Hallux valgus, que consiste en una desviación del primer dedo hacia fuera, producida por una desviación del primer metatarsiano hacia adentro.
Qué lo causa
Calzado: el zapato de punta fina con tacón elevado es UNO de los factores importantes en la aparición de síntomas en un juanete, pero no es la única causa de la aparición del mismo.
Es un problema que obedece a muchos factores, que incluyen: la herencia, el sexo, la foma del pie (pie egipcio y el pie plano), la fuerza o debilidad de los ligamentnos y tendones (laxitud ligamentaria), alteraciones hacia dorso del pie y el tobillo como la inestabilidad de la articulación cueno metatarsiana, entre otros.
Es muy importante hacer conciencia del hecho más importante, que independientemente de la causa, las personas que tienen un juanete NO SIEMPRE desarrollan síntomas y que se puede vivir con ellos. Para quitarlos hace falta una cirugía, pero es verdad que no es necesaria la cirugía, hasta que se tenga síntomas importantes, por lo que, si la persona se puede adaptar a ellos y aprender a vivir con su juanete, mientras no produzca dolor, impida el calzado y merme su calidad de vida, no es necesario llevar a cabo una cirugía.
Quién lo tiene
Es la deformidad del pie más frecuente, representando un verdadero problema para las mujeres, aunque no es exclusivo del sexo femenino. Por cada hombre que necesita cirugía hay 15 mujeres que requieren tratamiento.
El paciente típico, es la mujer, de más de 50 años, que tiene años lidiando con su pie y lo cuida mucho, pero ya comienza a molestar sobre todo la planta del pie y la deformidad de los dedos menores (no el gordo, los demás), con el típico dedo en martillo.
Sabemos que el problema puede comenzar mucho antes de lo que se piensa, pues muchos pacientes explican que la deformidad ha comenzado a partir de los 10 o 12 años, a pesar de que los síntomas pueden aparecer a partir de la cuarta ó quinta década de la vida y que la edad media de la cirugía está alrededor de los 60 años.
En la mayor parte los pacientes el problema es en los dos pies, aunque varía mucho la magnitud en cada lado.
La herencia es otro factor importante ya que se presenta entre el 60 – 80% de casos.
Además de estos factores, hay otros factores anatómicos y mecánicos, como la laxitud de los ligamentos, la movilidad de algunas articulaciones, la relación que puede existir con el pie plano, que son controvertidos, pero pueden estar involucrados en este problema.

Sintomas
Además de un aspecto poco estético del pie, el dolor en la cara interna, donde se encuentra el juanete, es su principal síntoma, produciendo molestias con el calzado de horma rígida y el calzado apretado. Este dolor es causado por una serie de eventos inflamatorios y no por el bulto en sí, que es el hueso normal, que al desplazarse de su sitio habitual, protruye.
Además, es frecuente encontrar que las personas, comienzan a presentar callosidades y dolor en la planta, porque la función de los pies al caminar se ve afectada, cambiando las zonas de apoyo; de la misma manera, si progresa durante mucho tiempo, puede acompañarse de
deformidades en los demás dedos.
Tratamiento
Los pacientes son tratados inicialmente con todos los métodos conservadores no quirúrgicos disponibles, entre los que encontramos las plantillas, diversos aparatos separadores del primer dedo, calzado ancho y cómodo, rehabilitación y medicación para el dolor. A pesar de esto, hay pacientes que persisten con las molestias y la cirugía es la respuesta a su deformidad, teniendo que pasar por quirófano para restituir la forma y la función del pie.
La cirugía del pie es conocida por ser muy dolorosa, con un postoperatorio muy engorroso, lo cual, en la actualidad no es del todo cierto. Las mejoras en las técnicas de anestesia, el perfeccionamiento de las técnicas quirúrgicas, el uso de vendajes, así como un calzado especial y el mejoramiento del tratamiento médico del dolor postoperatorio hace que esta creencia hoy en día sea algo antigua.
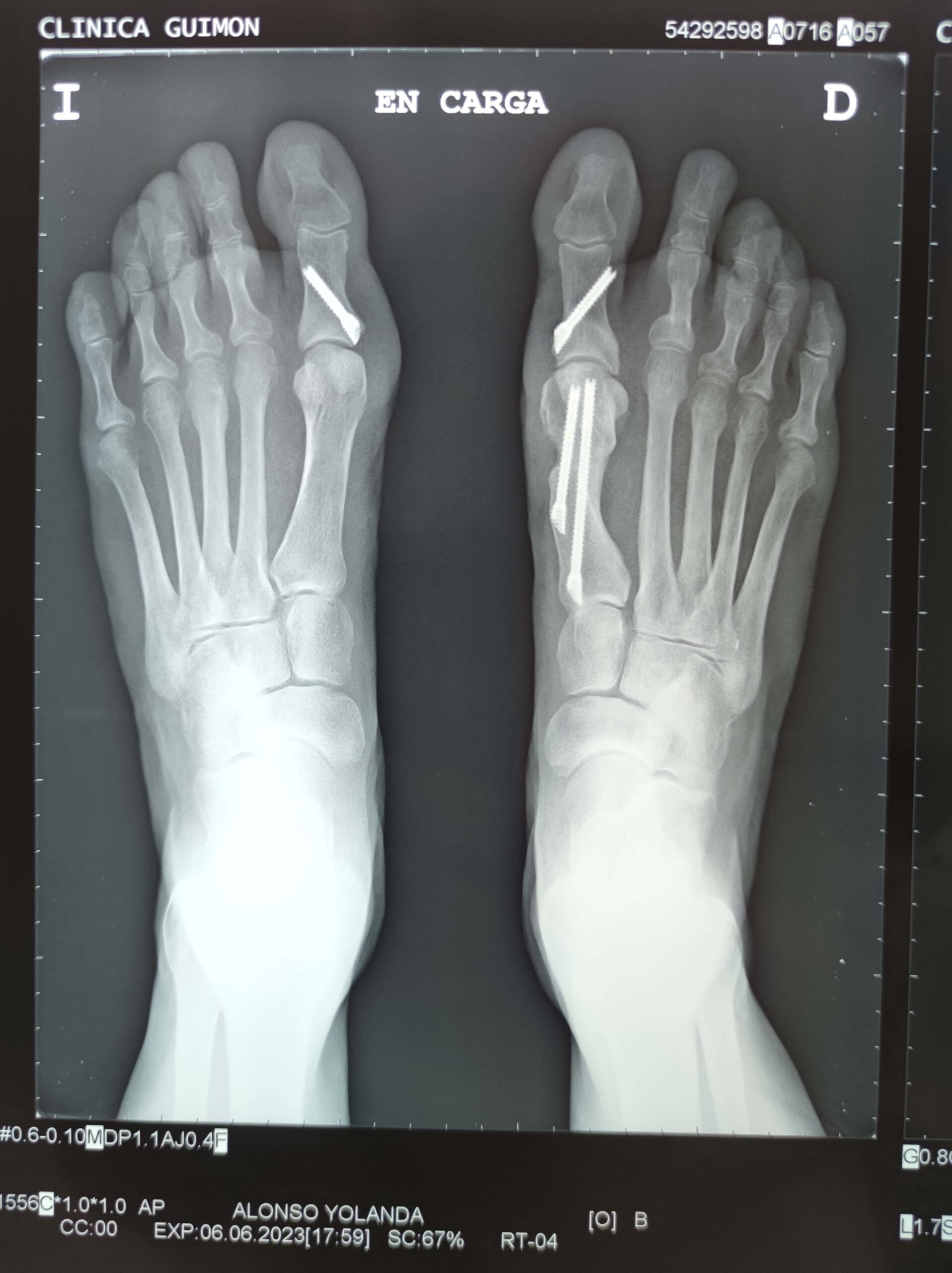
La cirugía se basa en cortes sobre los huesos para obtener una alineación adecuada del dedo gordo, utilizando tornillos u otro tipo de material para mantener la reconstrucción realizada.
Habitualmente se realiza cirugía a través de incisiones muy pequeñas denominada percutánea (cirugía mínimamente invasiva), a veces es mal llamada láser. A veces tenemos que recurrir a la cirugía abierta normal también. La técnica dependerá de cada caso en concreto, ya que toda cirugía tiene su indicación.
Sabemos que el problema puede comenzar mucho antes de lo que se piensa, pues muchos pacientes explican que la deformidad ha comenzado a partir de los 10 o 12 años, a pesar de que los síntomas pueden aparecer a partir de la cuarta ó quinta década de la vida y que la edad media de la cirugía está alrededor de los 60 años.
En la mayor parte los pacientes el problema es en los dos pies, aunque varía mucho la magnitud en cada lado. La herencia es otro factor importante ya que se presenta entre el 60 – 80% de casos.
Además de estos factores, hay otros factores anatómicos y mecánicos, como la laxitud de los ligamentos, la movilidad de algunas articulaciones, la relación que puede existir con el pie plano, que son controvertidos, pero pueden estar involucrados en este problema.
